京都 四条烏丸の歯科医院 RIMO dental clinicの院長 小川智功です。
(前回までのあらすじ)仮歯作成し、ホームホワイトニングを行ったのち、歯の予知性を高めることと、歯肉のラインを審美的改善を求めるために、エクストルージョンを行うことになりました。

両隣在歯は切削していません。施術はきちんと行う上で、患者さんには審美的苦痛がないように努めました。1ヶ月程度で、予定の位置まで矯正的挺出させました。
エクストルージョン前後の歯肉です。
比較です。
再度ファイバーポストで支台築造後、仮歯作成し、光学印象ののちにセラミッククラウンを装着しました。
治療前後の比較です。

通常のホワイトニングやセラミック冠の装着に比べて治療期間や費用はかかりましたが、他院さんで既に受けてこられた矯正治療期間や矯正治療費用に比べるととても少なかったため、治療結果も含めて、患者さんはとても喜んで下さいました。
治療概要を記載致します。
治療名:エクストルージョン、CEREC審美治療
治療内容:ファイバーポストの必要性を患者さんに説明し、同意頂いた上で、歯を切削し、仮歯を装着。患者さんに形を同意して頂いた後に、光学印象と印象、シェードテイクを行いました。セラミッククラウンはいったん仮着し、実生活して頂き、装着感を患者さんに確認の後、セラミッククラウンの色や形に変更がないのを確認し合着しました。
治療に際してご理解頂いたこと:歯の切削に伴い、振動などの違和感があります。
治療後にご注意頂くこと:3〜6ヶ月に1度のメンテナンスが必要です。不意に固い物を咬んだり、歯みがきがきちんとできていなくてむし歯ができたり、必要なメンテナンスの期間を超えて放置していたりするとセラミックが破折することがあります。
総治療期間:約3ヶ月(ホームホワイトニング〜エクストルージョン〜セラミック装着)
費用:CEREC治療(1本分)約15万円 ファイバーポストによる支台築造費用、エクストルージョン、ホームホワイトニングを含む



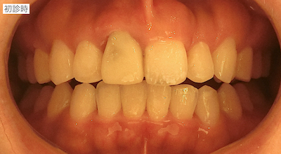
コンポジットレジンで歯冠部が作られていました。歯肉縁下まで及んでいたので、いったん全て外して、状況を確認した方が良いことを説明しました。患者さんも歯肉のラインが気になっておられ、前歯の形も理想ではないとのことだったので、全て外して仮歯の作成を行うことを説明し、同意頂けました。
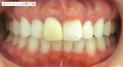
旧仮歯を撤去したところ、歯根が一部水平的に破折していました。歯肉のラインが歪になっていたのはこのことが原因であったと説明しました。支台築造を行い、仮歯を作成しました。患者さんはホワイトニングを希望しておられたので、ホームホワイトニングを行ったのちに周りの歯の色に合わせてセラミック冠を作成することで同意頂いたので、ホームホワイトニングを行いました。
初診時との比較です。
患者さんはホームホワイトニングの結果に満足しておられたのですが、歯肉縁上の残存歯質が少なすぎて、今後の安定性に不安があること、エクストルージョンを行えば、歯肉縁上の歯質を確保でき、予知性を高めることができて、歯肉のラインも改善できることを説明しました。






