京都 四条烏丸の歯科医院 RIMO dental clinicの院長 小川智功です。
前回、全体的に治したいと来院された患者さんに問題点とその治療計画、手術計画を提案し、同意頂きました。
抜歯、骨組織再生処置を終え、インプラントとアンカースクリューを必要箇所に全て埋入しました。
アンカースクリューによる右上の圧下も終えて、上部構造を装着しました。
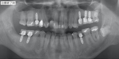
上部構造装着後です。

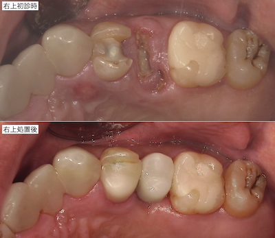
各々の部分の比較です。まず右上です。
右上のアンカースクリューによる圧下の結果のレントゲンです。
左上です。
左下です。
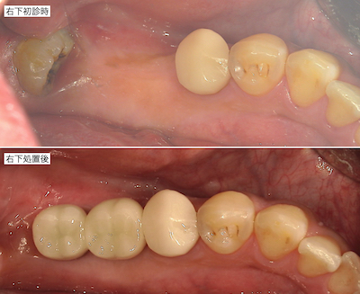
右下です。
初診時と術後のレントゲンです。

患者さんはとても不安に感じておられたと思います。患者さんが勇気を出して手術を受けて下さった事に感謝しています。とても喜んで下さったので、良かったです。
医療広告のガイドラインに基づき、治療概要を記載致します。
治療名:骨組織再生処置、インプラント治療、CEREC治療、アンカースクリューによる機能的矯正
治療内容:骨組織再生後、7本のインプラントを埋入。仮歯作成後、光学印象、セラミッククラウン装着。
治療に際してご理解頂いたこと:局所麻酔が必要です。インプラント治療では外科処置が必要です。インプラントドリリング時、歯の切削に伴い、振動などの違和感があります。機能的矯正による圧下は状況によりますが、6〜12ヶ月で判断していきます。
治療後にご注意頂くこと:治癒は術後の患者さんの動向に依存する部分もあります。手術後2〜3時間は患部を良く冷やして頂いた方が腫れにくくなります。手術後当日は汗をかくような体を温める血行が良くなることは控えて、安静にして頂いた方が腫れにくくなります。2〜3日は腫れることがございます。装着している上部構造はオールセラミッククラウンなので、固い物を不意に咬んだ時に割れることもあります。しかし、中のアバットメントは全く無傷でいることが可能ですし、コンピューター内にデータがありますので、ご来院時には既に作成しているセラミッククラウンを装着できます。
治療期間:約1年間
処置内容:骨組織再生手術、機能的矯正、7本インプラント埋入手術、光学印象、セラミッククラウン装着




次に左上です。破折した根の周りに不良肉芽組織があるため、抜歯後に歯槽堤が安定しないことが想定されました。咬み合わせを確保する前に、骨組織再生処置を行い、組織を正常な状態に戻す事が必要であることを説明しました。
患者さんには治療計画に同意いただき、インプラント治療を選択されました。
患者さんは手術内容に同意されたので、インプラント手術を行っていくこととなりました。後半へ続きます。








