京都 四条烏丸の歯科医院 RIMO dental clinicの院長 小川智功です。
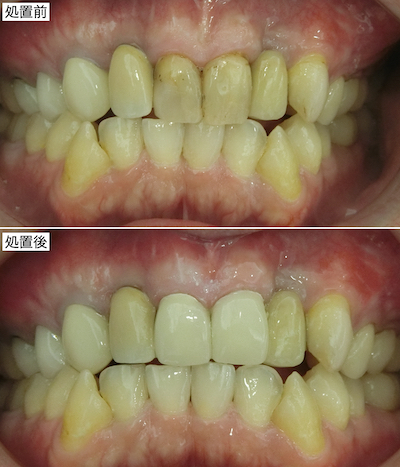
前歯をきれいにしたいとご希望の患者さんが来院されました。
右上に1本、ずいぶん前に神経を抜いた歯がありました。ホワイトニングをしても差し歯の色は変わらないので、ホワイトニングを行わずに、今の全体の歯の色に合わせてクラウンを装着するか、ホワイトニングの後にクラウンを装着するか、ご選択頂きました。
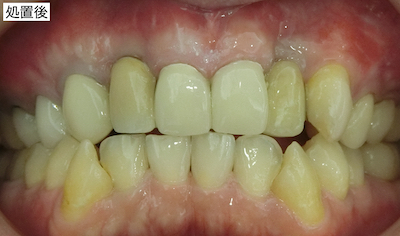
患者さんはホワイトニングの後にセラミッククラウンの装着を希望されたので、患者さんの納得いくまで白くされた後に、周りの歯の色に合わせてセラミッククラウンを装着しました。

患者さんはとても喜んで下さいました。
治療概要を記載致します。
治療名:ホームホワイトニングとセラミック治療
治療内容:患者さんに施術内容を説明し、歯を白くするための手段を選択して頂きました。ホームホワイトニングを選択されたので印象し、後日ホームホワイトニング用のトレーのお渡しと使用の説明、要領、注意事項を説明しました。患者さんが納得いくまで白くされた後に、歯並びを修正できるように仮歯を装着、印象し、セラミッククラウンを装着しました。
治療に際してご理解頂いたこと:ホワイトニングは髪のカラーリングと似ています。色の変化が大きくなるほど髪がパサつく感じが出るように、歯もしみる症状が出ることもあります。患者さんご本人の意識や装着時間次第で白くなります。歯がしみる症状が出た場合のために、しみ止めのジェルもお渡ししています。
治療後にご注意頂くこと:最初は分かりやすく白くなります。目が慣れてくるのと、患者さんの白さへの期待が高くなるのが相まって後半は白さが分かりにくいことがあります。例えば、黄色と白色だとどちらが白いか明白ですが、パールホワイトとピュアホワイトを比較してどちらが白いか表現しにくくなるようなイメージです。ホワイトニングはすればするほど白くなりますが、トレーに入れるホワイトニングジェルの量、装着時間によってはしみる症状が出ることもあります。
治療回数:3回
費用:11万円程度