京都 四条烏丸の歯科医院 RIMO dental clinicの院長 小川智功です。
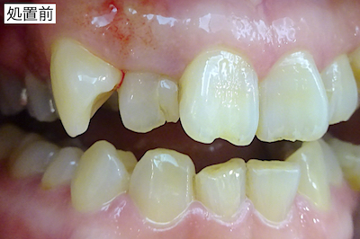
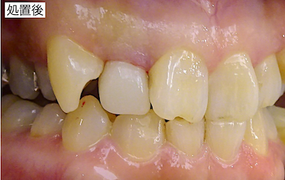
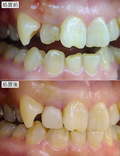
金属を白くしたいとご希望の患者さんへの施術が終わりました。

連結したブリッジだったので、型取りをして、試し入れ・色合わせを行い、装着しました。3本の歯を4回で治療を終えました。患者さんはとても喜んで下さったので、良かったです。
治療概要を記載致します。
治療名:セラミック治療
治療内容:局所麻酔下でブリッジを除去後、仮歯を作成しました。印象し、試適、シェイドテイク後にセラミックブリッジを装着しました。
治療に際してご理解頂いたこと:ブリッジ除去時にのみ局所麻酔が必要です。金属撤去時、歯の切削に伴い、振動などの違和感があります。
治療後にご注意頂くこと:3〜6ヶ月に1度のメンテナンスが必要です。不意に固い物を咬んだり、歯みがきがきちんとできていなくてむし歯ができたり、必要なメンテナンスの期間を超えて放置していたりするとセラミックが破折することがあります。
治療回数:4回
治療費用:約30万円













