京都 四条烏丸の歯科医院 RIMO dental clinicの院長 小川智功です。
歯が外れたと患者さんがご来院されました。

残念ながら保存不可能な状態でした。まずは抜歯を行うかどうかを伺ったところ、抜歯を行って早く歯がない状態を改善したいとのことでした。なので、まずは奥の銀歯を外して手前の歯の分も含めて2本分の仮歯を作成し、抜歯を行いました。治癒待ちの間、保険治療、保険外治療の範囲で、ブリッジ、部分義歯、インプラントの治療オプションについて、メリット、デメリットを含めて治療計画書を作成し、説明しました。

患者さんはインプラント治療を選択されました。抜歯窩に対して、骨再生治療を行いました。2ヶ月程度待機して、CT撮影し、CTシミュレーションを行い、手術計画書を作成しました。

患者さんは手術内容に同意されたので、インプラント手術を行うこととなりました。患者さんは12:00にご来院されて、局所麻酔、クリーニングを行い、12:20に手術開始、12:40に縫合終了。術後の資料採取を行い、資料を見ながら術中の説明、術後の注意事項を説明し12:50には医院を出られました。
その後、2次手術を行い、仮歯を適合させました。リハビリ後に光学印象を行いました。

自身のインプラント埋入の再評価を行い、補綴物の設計を行いました。1週間後にカスタムアバットメントとセラミックを装着しました。

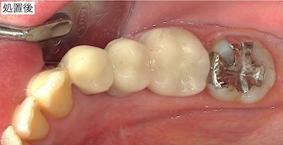
治療前後の比較です。

患者さんはとても喜んで下さったので、良かったです。
医療広告のガイドラインに基づき、治療概要を記載致します。
治療名:インプラント治療、CEREC治療
治療内容:抜歯後に骨再生治療。1本のインプラントを埋入。仮歯作成後、光学印象、セラミッククラウン装着。
治療に際してご理解頂いたこと:局所麻酔が必要です。インプラント治療では外科処置が必要です。インプラントドリリング時、歯の切削に伴い、振動などの違和感があります。
治療後にご注意頂くこと:治癒は術後の患者さんの動向に依存する部分もあります。手術後2〜3時間は患部を良く冷やして頂いた方が腫れにくくなります。手術後当日は汗をかくような体を温める血行が良くなることは控えて、安静にして頂いた方が腫れにくくなります。2〜3日は腫れることがございます。装着している上部構造はオールセラミッククラウンなので、固い物を不意に咬んだ時に割れることもあります。しかし、中のアバットメントは全く無傷でいることが可能ですし、コンピューター内にデータがありますので、ご来院時には既に作成しているセラミッククラウンを装着できます。
施術時間:インプラント1本埋入手術約20分、2次手術5分、光学印象5分。
治療期間:抜歯〜インプラント手術〜終了まで6ヶ月。
費用:診断料、手術基本料、1本インプラント埋入手術、光学印象、1本セラミッククラウン装着 約57万円








