京都 四条烏丸の歯科医院 RIMO dental clinicの院長 小川智功です。
ブリッジが外れたと患者さんがご来院されました。

手前の支台歯は神経は残っていましたが、奥の支台歯は神経を抜いてかなりの時間が経過していると考えられました。ブリッジにすると、清掃性や咬合負担を考えた時に、次に外れる時は奥の歯は保存不可能になっていると推察しました。今は1本の欠損ですが、ブリッジにすると近い将来奥歯がダメになった時には2本分の欠損となります。欠損部にインプラントを行い、単冠処理した方が咬合負担が減り清掃性も良くなりベターであることを説明し、患者さんのご希望に治療計画書を作成しました。
患者さんはインプラント治療を選択されたので、手術計画書を作成しました。治療期間に無駄がないように奥歯の根管治療はインプラントの骨結合の待機期間で行う事としました。

手術計画を説明し、同意頂いたのでインプラント手術を行うこととなりました。患者さんは10:00にご来院されて、局所麻酔、クリーニングを行い、10:20に手術開始、10:40に縫合終了。術後の資料採取を行い、資料を見ながら術中の説明、術後の注意事項を説明し10:50には医院を出られました。
インテグレーションを待つ2ヶ月の間に、根管治療を行いました。その後、2次手術を行い、仮歯を適合させました。


リハビリ後に光学印象を行いました。

自身のインプラント埋入の再評価を行い、補綴物の設計を行いました。1週間後にカスタムアバットメントとセラミックを装着しました。

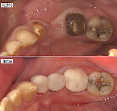
治療前後の比較です。

患者さんはとても喜んで下さったので良かったです。
医療広告のガイドラインに基づき、治療概要を記載致します。
治療名:インプラント治療、CEREC治療
治療内容:1本のインプラントを埋入。仮歯作成後、光学印象、セラミッククラウン装着。両隣在歯をCEREC治療。
治療に際してご理解頂いたこと:局所麻酔が必要です。インプラント治療では外科処置が必要です。インプラントドリリング時、歯の切削に伴い、振動などの違和感があります。
治療後にご注意頂くこと:治癒は術後の患者さんの動向に依存する部分もあります。手術後2〜3時間は患部を良く冷やして頂いた方が腫れにくくなります。手術後当日は汗をかくような体を温める血行が良くなることは控えて、安静にして頂いた方が腫れにくくなります。2〜3日は腫れることがございます。装着している上部構造はオールセラミッククラウンなので、固い物を不意に咬んだ時に割れることもあります。しかし、中のアバットメントは全く無傷でいることが可能ですし、コンピューター内にデータがありますので、ご来院時には既に作成しているセラミッククラウンを装着できます。
施術時間:インプラント1本埋入手術約20分、2次手術5分、光学印象5分。
治療期間:インプラント手術〜終了まで4ヶ月。
費用:診断料、手術基本料、1本インプラント埋入手術、光学印象、2本セラミッククラウン装着 約56万円








