京都 四条烏丸の歯科医院 RIMO dental clinicの院長 小川智功です。
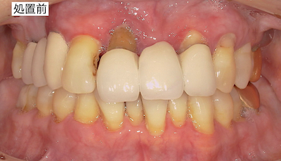
前歯が気になると患者さんが来院されました。

残念ながら前歯のブリッジの支台歯は保存不可能な状態になっていました。右上にもブリッジが入っていたので、計3本の欠損に対して、5本の支台歯が必要となり、この前歯のブリッジでの治療を行うには8本分になります。患者さんは保険外のブリッジで治療を進めていくことを希望されたので、治療を進めていく事となりました。

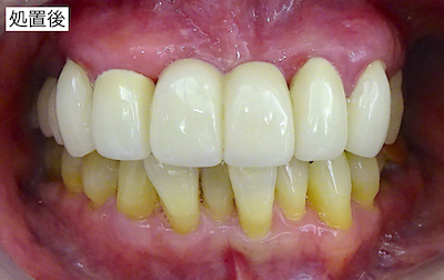
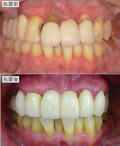
治療前後の比較です。

患者さんは短期間での治療をご希望されておられました。仕上がりにもとても喜んで下さったので良かったです。
治療概要を記載致します。
治療名:審美治療
治療内容:患者さんに説明し、同意頂いた上で、歯を切削し仮歯を装着。保存不可能な歯の抜歯の治癒待ちの間に根管治療が必要な歯の施術を行いました。患者さんに形を同意して頂いた後に、印象、シェードテイクを行いました。装着感を患者さんに確認の後、セラミッククラウンの色や形に変更がないのを確認し合着しました。
治療に際してご理解頂いたこと:歯の切削に伴い、振動などの違和感があります。
治療後にご注意頂くこと:3〜6ヶ月に1度のメンテナンスが必要です。不意に固い物を咬んだり、歯みがきがきちんとできていなくてむし歯ができたり、必要なメンテナンスの期間を超えて放置していたりするとセラミックが破折することがあります。
治療期間:2ヶ月間
治療内容:審美治療
治療費用:約80万円








