院長のひとりごと

tel_sp.png
メールでのお問い合わせ

2025.10.10更新

京都 四条烏丸の歯科医院 RIMO dental clinicの院長 小川智功です。

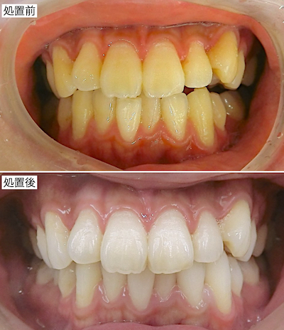
歯を白くしたいとご希望の患者さんが来院されました。

ホームホワイトニング

患者さんはとても喜んで下さいました。

治療概要を記載致します。

治療名:ホームホワイトニング

治療内容:患者さんに施術内容を説明し、歯を白くするための手段を選択して頂きました。ホームホワイトニングを選択されたので印象し、後日ホームホワイトニング用のトレーのお渡しと使用の説明、要領、注意事項を説明しました。

治療に際してご理解頂いたこと:ホワイトニングは髪のカラーリングと似ています。色の変化が大きくなるほど髪がパサつく感じが出るように、歯もしみる症状が出ることもあります。患者さんご本人の意識や装着時間次第で白くなります。歯がしみる症状が出た場合のために、しみ止めのジェルもお渡ししています。

治療後にご注意頂くこと:最初は分かりやすく白くなります。目が慣れてくるのと、患者さんの白さへの期待が高くなるのが相まって後半は白さが分かりにくいことがあります。例えば、黄色と白色だとどちらが白いか明白ですが、パールホワイトとピュアホワイトを比較してどちらが白いか表現しにくくなるようなイメージです。ホワイトニングはすればするほど白くなりますが、トレーに入れるホワイトニングジェルの量、装着時間によってはしみる症状が出ることもあります。

使用期間:一ヶ月

費用:2万5000円程度

投稿者: リモデンタルクリニック

SEARCH

ARCHIVE

CATEGORY

メールでのご相談はこちら