京都 四条烏丸の歯科医院 RIMO dental clinicの院長 小川智功です。
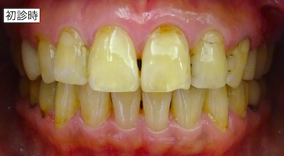
前歯の隙間と着色が気になると患者さんが来院されました。
この患者さんの前歯の隙間は加齢等の生理現象、経年変化で起こっていたことに加えて、コンポジットレジンの着色もありました。隙間を歯肉移植で埋めようとすると血流が少ない部分なので、逆に隙間が広がるような結果になることがあること、コンポジットレジンで埋めてもその物性からプラークが付着し、歯肉が腫れやすくなり、経年的な着色も起こる可能性があることから、私は「費用はかかるけどこれが最後の歯科治療と、セラミック治療を行う方が一番確実で予知性も高いです。」と説明しました。
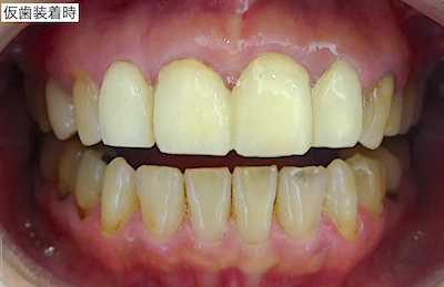
患者さんはセラミック治療を選択されたので、まずは仮歯を作成しました。

前歯の隙間が埋まっていること、コンポジットレジンの着色が無くなったことで患者さんにはご納得頂けたので、セラミッククラウンの作成に移行しました。

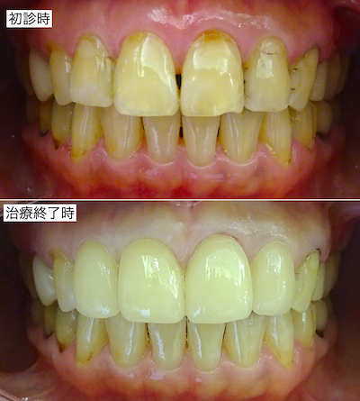
治療前後の比較です。

患者さんは短期間での治療をご希望されておられました。仕上がりにもとても喜んで下さったので良かったです。その状況によりますが、コンポジットレジン修復よりも歯肉移植よりも確実性の高い治療をご提案、ご提供できてよかったです。
治療概要を記載致します。
治療名:CEREC審美治療
治療内容:患者さんに説明し、同意頂いた上で、歯を切削し仮歯を装着。患者さんに形を同意して頂いた後に、光学印象と印象、シェードテイクを行いました。装着感を患者さんに確認の後、セラミッククラウンの色や形に変更がないのを確認し合着しました。
治療に際してご理解頂いたこと:歯の切削に伴い、振動などの違和感があります。
治療後にご注意頂くこと:3〜6ヶ月に1度のメンテナンスが必要です。不意に固い物を咬んだり、歯みがきがきちんとできていなくてむし歯ができたり、必要なメンテナンスの期間を超えて放置していたりするとセラミックが破折することがあります。
治療期間:20日間
治療内容:CEREC治療
治療費用:約30万円








