京都 四条烏丸の歯科医院 RIMO dental clinicの院長 小川智功です。
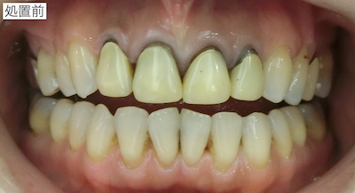
前歯の黒ずみが気になると患者さんが来院されました。
いつ被せたか分からないくらい古い被せとのことでした。被せが古くなっており、歯肉縁と被せの辺縁が合わなくなっていました。中の支台歯からきれいにする必要があること、保険適用でも保険外でもどちらでも良いが保険適用だとこのような色の経時変化が起こることがあることを説明しました。
「これが前歯の最後の歯科治療だと思って、僕は治療に臨みます。セラミック治療を選択されるのであれば、費用も通院も必要なことなので、よくお考え下さい。」とお伝えしました。患者さんはセラミック治療を選択されました。

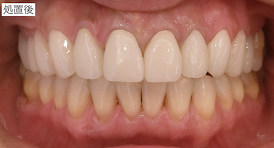
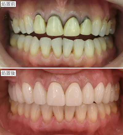
11本の歯の施術を1ヶ月半程度の通院で終えました。治療前後の比較です。

患者さんはとても喜んで下さいました。
治療概要を記載致します。
治療名:CEREC審美治療
治療内容:患者さんに説明し、同意頂いた上で、古いクラウンを撤去し、ファイバーポストで支台築造後、仮歯を装着。患者さんに形を同意して頂いた後に、光学印象と印象、シェードテイクを行いました。セラミッククラウンはいったん仮着し、実生活して頂き、装着感を患者さんに確認の後、セラミッククラウンの色や形に変更がないのを確認し合着しました。
治療に際してご理解頂いたこと:歯の切削に伴い、振動などの違和感があります。
治療後にご注意頂くこと:3〜6ヶ月に1度のメンテナンスが必要です。不意に固い物を咬んだり、歯みがきがきちんとできていなくてむし歯ができたり、必要なメンテナンスの期間を超えて放置していたりするとセラミックが破折することがあります。
治療期間:約1ヶ月半
治療内容:CEREC治療
治療費用:約75万円








